日和見疾患の診断・治療
HOME > 日和見疾患の診断・治療 > ノカルジア感染症
ノカルジア感染症
Last updated: 2022-09-29
病原体
Nocaridia は、土壌や野菜などの植物、水などの日常的な環境に存在するグラム陽性好気性放線菌属である。日本では、N.farcinica、 N.asteroides sensu strict、 N.brasilliensis、 N.nova の4菌種が多く、それぞれ全Nocarida 属の27%、24%、24%、11%を占めるとの報告がある。日本で最も頻度が高いN.farcinicaは薬剤耐性が多く、病原性が高い。N.brasiliensis は皮膚軟部組織感染症を起こすことが多い。なお、その他の放線菌属としてActinomyces 属が挙るが、嫌気性であり、Kinyoun染色陰性の点で鑑別される。
感染防御には細胞性免疫が重要であり、しばしば確定診断が困難である事も併せ、HIV感染者では特に常に念頭に置くべき病原微生物である。
臨床像
感染経路は吸入や外傷創部からの直接侵入であり、現時点では動物-ヒト感染やヒト-ヒト感染の報告はない。しかし土ホコリ等の吸引、医療従事者の手指、病院内での工事などによる院内感染の報告もある。
Nocardia 感染症の病態には64%以上が背景に何らかの免疫抑制状態があるとされ、特に細胞性免疫不全が発症に関与しているとされる。ノカルジア感染症の頻度は、全HIV感染症の0.2-2%であり、CD4<200/µL(特に<100/µLで、平均35/µL)との報告がある。
感染の臓器としては、皮膚、呼吸器、中枢神経が問題となることが多い。骨、心臓、関節、腎臓、副鼻腔、眼、脾臓、肝臓、副腎、膵臓、甲状腺などいずれの臓器にも感染を起こすことがあるが、菌血症はまれである。当科(ACC)の経験例では単独感染よりも、ニューモシスチス肺炎(PCP)などに合併する形で肺炎として初発する事が多い。肺炎から脳膿瘍への進展も少なからず経験しており、決して稀な疾患ではない。
肺病変は画像上、Alveolar pattern(70%)、空洞病変(35%)、胸水(35%)、単発・多発の結節・腫瘍pattern(27%)と多彩な画像所見を認めるとされるが、当科では大きな結節影に近い濃度の高いconsolidationを呈する例を多く経験している(写真1)。PCPとの合併例では治療に使用されるST合剤がノカルジアに対しても有効な事が多いため、速やかにノカルジア肺炎の病変も改善が見られるが、PCP治療終了後に肺病変が再燃し、一部では脳膿瘍の形で再燃・進展した例を経験している(写真2)。
写真1:肺 Nocardia

rS7に腫瘤影に近い浸潤影(consolidation)を認める(胸部造影CT検査)
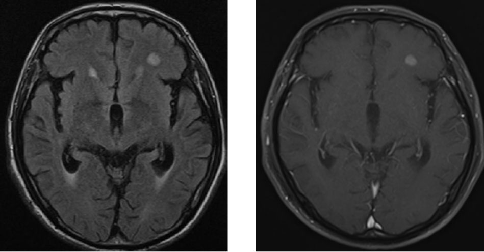
写真2: Nocardiaによる脳病変

左前頭葉に直径5mm程度の病変を認める (左:FLAIR、右:ガドリウム造影)
診断
診断において重要な検査は、病変部位から採取した検体のグラム染色、Kinyoun染色によるフィラメント状の菌体確認と、16S-rRNAを使用した遺伝子検査である。培養検査の感度はそれほど高くなく、菌体が確認できる検体でも培養陰性となる事がしばしばである。グラム陽性菌であり、分枝したフィラメント状の多形性もしくは数珠状を呈し、太さは0.5~1.2μmである。Kinyoun染色は、Ziehl-Neelsen染色の変法(脱色がZiehl-Neelsen染色が3%塩酸で行うのに対し、Kinyoun染色では0.5-1%硫酸を用いる)であり、細胞壁に含まれるmycolic acidを反映し陽性となる(写真3)。菌名同定および抗菌薬感受性検査のためには、専門機関での検査が必要である。培養期間は、5日-21日(平均は2-14日、典型例は3-5日)とされ、血液培養の場合は2-4週間必要とされる。
PCP症例で他の部位とは画像所見が異なっている(特にconsolidation~mass)病変が存在する場合には、可能であればPCPの治療前にTBLBを積極的に行い、ノカルジア肺炎の除外を行う事が勧められる。ST合剤の先行投与やステロイドを使用すると、ノカルジア肺炎の病変も画像上は速やかに消失してしまい、検体採取が困難になる。一方で、ノカルジアの根絶には長期治療を要するため、後日、肺病変の再発や脳膿瘍への進展という転帰を辿るリスクがある点は先述の通りである。
写真3:染色像

検体:縦隔リンパ節、1000倍(左グラム染色、右Kinyoun染色)
治療
菌種により抗菌薬の感受性が異なるため、検体を専門機関に送り、可能な限り菌名と感受性の同定を行うことが重要である。治療期間は初期治療(静注、免疫不全者は最低6週間)と維持療法(中枢神経病変を伴わない免疫正常者は初期治療期間と合わせて最低6ヶ月、免疫不全者(focusは限定されない)および中枢神経病変を伴う免疫正常者は最低12ヶ月)に分かれる。また脳膿瘍の場合、2週間の抗菌薬の治療で全身状態の増悪や膿瘍の増大を認める場合、4週間の治療で脳膿瘍のサイズが縮小しない場合は外科的治療も考慮される。
ノカルジア肺炎を診断した場合には、エンピリックには感受性率が高いST合剤で治療を開始する。脳膿瘍などへの進展例では、IPM+ AMKによる点滴静注治療を行う。
維持療法の内服剤としてはST合剤、MINO、AMPC/CVAなどを起炎菌の感受性結果に基づき選択する。菌種別の抗菌薬感受性(表1)および各病型の推奨治療(表2)を示した。
一方で、ノカルジアに対するCLSIの判定基準に基づく感受性結果が感受性あるいは耐性であることが、必ずしも治療成功あるいは失敗と関連していないという報告があり、臨床経験上もそのような印象が強い。
ノカルジア感染症の治療薬の選択においては、感受性結果の限界を念頭においた上で、治療開始後の臨床経過を注意深く観察し、必要に応じて抗菌薬変更も考慮する事が重要である。
表1 抗菌薬感受性率(%)

表2 抗菌薬レジメン

著作権について
当サイト内のコンテンツ(文章・資料・画像・音声等)の著作権は、特に記載のない限り、国立国際医療センターエイズ治療・研究開発センターまたは第三者が保有します。営利、非営利を問わず、当サイトの内容を許可なく複製、転載、販売などに二次利用することを禁じます。
